Soins Dentaires

Au Centre Dentaire Ain-Taya, les soins dentaires ont un objectif clair : traiter la carie et restaurer la dent en gardant un maximum de structure naturelle. 

Nous privilégions des restaurations esthétiques, durables et confortables, avec une prise en charge précise et un suivi rigoureux.

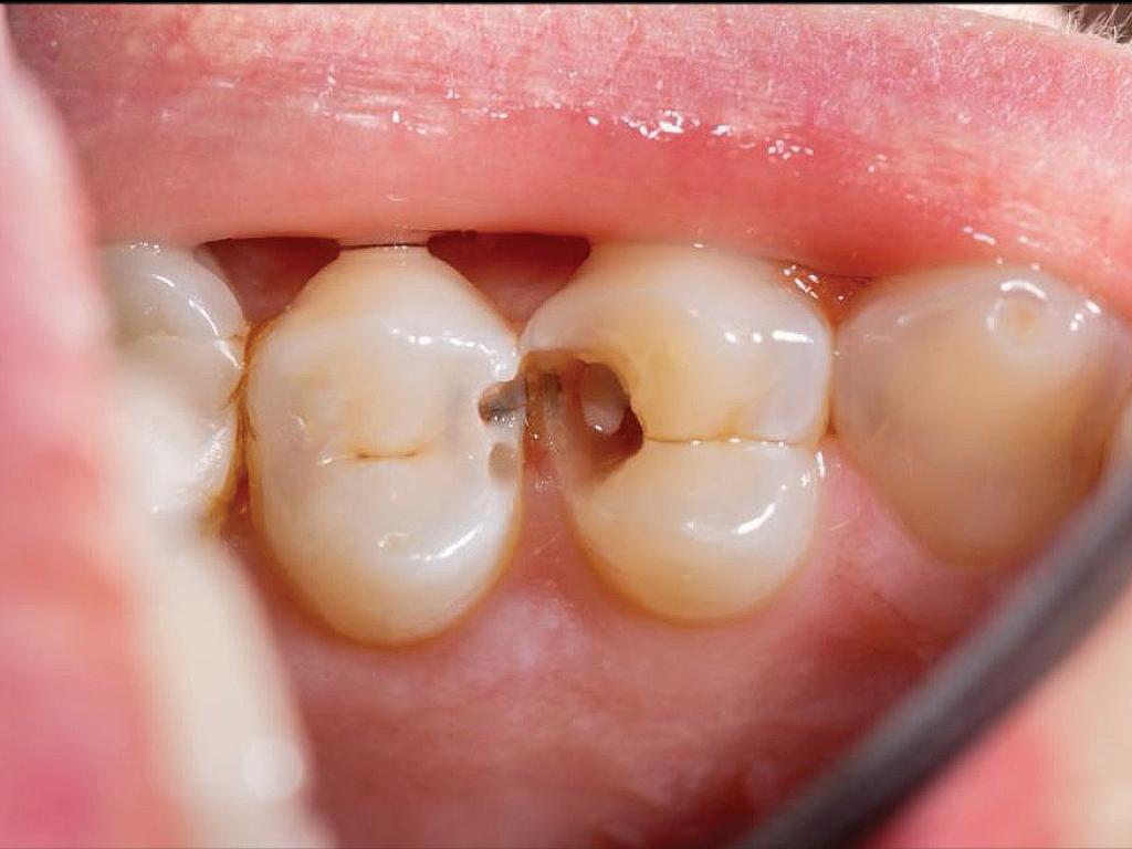
Traitement des caries

Élimination de la carie et nettoyage de la dent pour stopper l’évolution, puis restauration adaptée pour retrouver confort et fonction.

Plombage / obturation composite

Restauration esthétique “blanche” qui remplace la partie abîmée de la dent avec un rendu naturel et une bonne résistance.

Reconstruction Dentaire

Reconstruction d’une dent très abîmée ou cassée afin de restaurer sa forme, sa solidité et sa mastication.

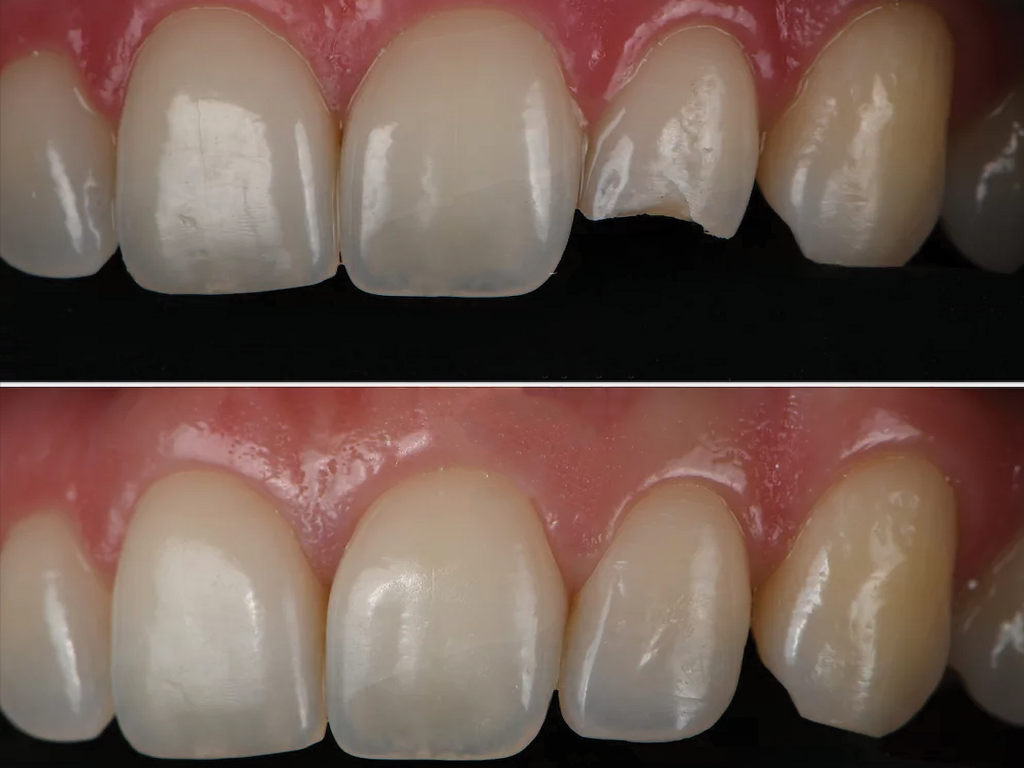
Restauration esthétique antérieure

Soins esthétiques sur les dents de devant pour améliorer l’apparence (forme, contours, petites fractures), avec un résultat discret et harmonieux.

Inlay / Onlay

Restauration sur mesure (plus précise et plus résistante qu’un plombage classique) indiquée quand la perte de matière est importante mais que la dent peut être conservée.

Quand consulter pour des soins dentaires ?

Le parcours du patient ?

Pourquoi nous choisir en
Soins Dentaires ?

Examen clinique + explication claire de la cause et des options.

Teinte adaptée.

Traitement confortable, restauration adaptée

Occlusion.

Pour éviter la récidive.

Nos patients RÉSULTATS

Nos patients RÉSULTATS

FAQ Soins Dentaires

-Non. Le soin peut se faire avec anesthésie locale si nécessaire.
-L’objectif est un traitement confortable.

-Souvent 30 à 60 minutes selon la profondeur de la carie et le type de restauration.

-Non, il est couleur dent et adapté à votre teinte pour un rendu naturel.

-Le composite est réalisé directement en bouche. L’inlay/onlay est sur mesure et indiqué quand la dent est plus fragilisée, pour une meilleure résistance.

-Une sensibilité légère peut exister quelques jours. Si elle persiste, on fait un contrôle.

-Contactez-nous rapidement : la dent doit être protégée et restaurée pour éviter douleur ou fracture.

Menu

Services

Contact

02 Rue du Stade Ain-Taya

+213660993773

Centredentaireat@
gmail.com